شنبه 15 آذر 1404

میدان مغناطیسی

میدان مغناطیسی

خبرگزاری ایسنا

به گفته کارشناسان شرکت "نورثروپ گرومن"، فضاپیماهای سبک‌تر از هوا می‌توانند حیات بیگانه را در ابرهای زهره جستجو کنند، اما آیا واقعا می‌توانند چنین کاری کنند؟

خبرگزاری ایسنا

ستاره شناسان دانشگاه "آریزونا" در مطالعه اخیرشان از شناسایی اولین نشانه از حضور میدان مغناطیسی در اطراف یک سیاره فراخورشیدی خبر داده‌اند.

خبرگزاری ایرنا

تهران - ایرنا - مطالعات جدید نشان می‌دهد الگوهای مغناطیسی در مقیاس اتمی با الهام از تیغ‌های خارپشت می‌تواند به طراحی دیسک سخت با ظرفیتی بسیار بیشتر از فناوری‌های موجود منجر شود.

خبرگزاری تسنیم

بزرگترین تلسکوپ رادیویی جهان موسوم به تلسکوپ (FAST) یا "چشم آسمان چین" بیش از 500 تپ‌اختر جدید را از اکتبر 2017 با دیافراگم 500 متری (FAST) شناسایی کرده است.

خبرگزاری ایسنا

اصوات جمع‌آوری شده در طول ماموریت گذر از کنار قمر گانیمد مشتری به تازگی توسط ناسا منتشر شده است.

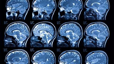
خبرگزاری ایرنا

تهران - ایرنا - محققان موفق به ساخت یک دستگاه آم آر آی کوچک و قابل حمل شدند که پایانی برای کابوس افراد مبتلا به تنگناهراسی است.

خبرگزاری اکو نیوز

خبرگزاری اکو نیوز

خبرگزاری ایسنا

تلسکوپ‌های زمینی خروج عجیب مواد از یک ابرسیاهچاله را نشان دادند که باعث ایجاد ساختاری مارپیچی در دل فضا شده است.

خبرگزاری تسنیم

آمریکا متوجه شده که جنگ نظامی علیه ایران هزینه‌بر است لذا تمرکز خود را روی استفاده از تکنولوژی نظامی در محیط زیست کرده است؛ در مقالات نظامی، آن‌ها اصطلاحاتی نظیر "waterweapon" و "weathercontrol" مکررا ذکر کرده‌اند که یکی از این سلاح‌ها "هارپ" است.

وب‌گاه اقتصاد نیوز

اگر روزی زمین در نتیجه تغییرات آب و هوایی متلاشی شود، جعبه سیاه زمین که یک دستگاه فولادی است در دسترس کسانی که باقی مانده‌اند قرار خواهد گرفت.

وب‌گاه عصر ایران

این آنتن چینی اولین تاسیسات در مقیاس بزرگ با فرکانس بسیار پایین (ELF) در جهان است که برای کاربران غیرنظامی نیز باز است و می‌تواند امواج الکترومغناطیسی از 0.1 تا 300 هرتز تولید کند. این امواج می‌توانند مسافت‌های طولانی را هم در زیر آب و هم زیر سطح زمین به راحتی طی کنند.

خبرگزاری ایسنا

یک مطالعه جدید نشان می‌دهد که هلیوسفر یا هورسپهر خورشید ما چگونه توسط کیهان شکل گرفته است و اینکه ما در یک هلیوسفر به شکل "نان کروسان" زندگی می‌کنیم.

وب‌گاه عصر ایران

فرهادی وقتی از کوره در رفت که یک فرد تندروتر جریان خاص خیلی عیان بازی کرد و فرهادی را متهم به دو سره بازی کردن کرد.

وب‌گاه مشرق نیوز

توزیع‌کننده یا دلکو همچنین دارای یک کلید قطع‌کننده مکانیکی یا الکتریکی برای باز و بسته کردن مدار اولیه سیم پیچ احتراق است.